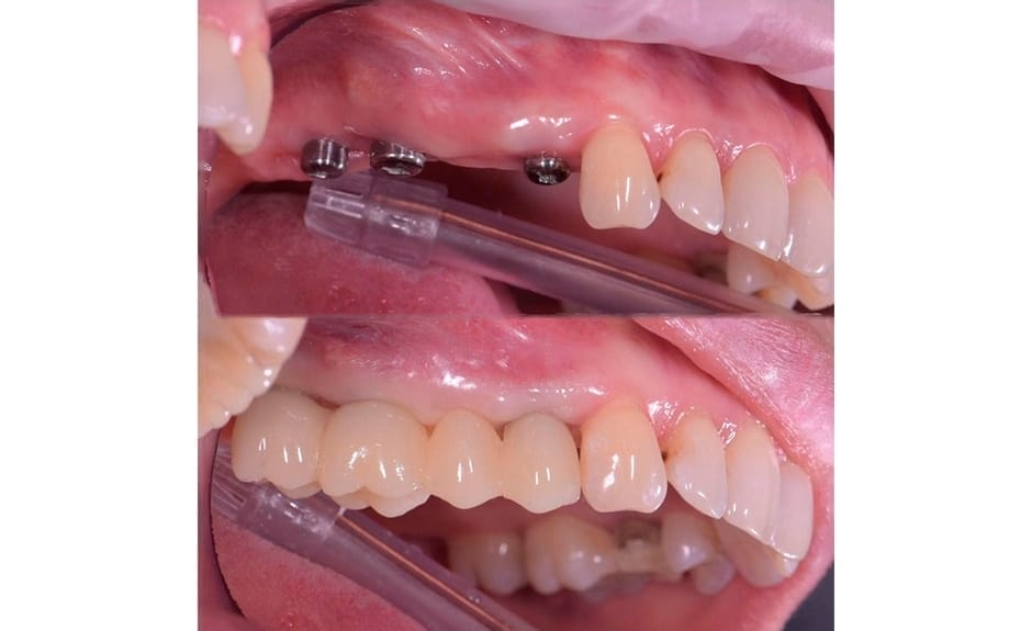
Не хватает всех или нескольких зубов?
Протезирование all-on-4
на имплантах со скидкой 35% за 114 800 рублей
🔥 Получите эстетичную улыбку и наслаждайтесь любимой едой уже завтра с помощью уникальной швейцарской технологии имплантации all-on-4
на имплантах со скидкой 35% за 114 800 рублей
🔥 Получите эстетичную улыбку и наслаждайтесь любимой едой уже завтра с помощью уникальной швейцарской технологии имплантации all-on-4
После установки имплантов
Зубы как свои. По ощущениям и для окружающих
Решение на всю жизнь - сделал и забыл
Питание без ограничений. Жевать можно почти всё и сразу без боли и дискомфорта
Улучшается дикция, разглаживаются морщины и вы выглядите на 10 лет моложе.
Безболезненная установка за 1 день. Пожизненная гарантия.




